
What Does Periodontitis Look Like? A Springfield, MO Guide To Gum Disease
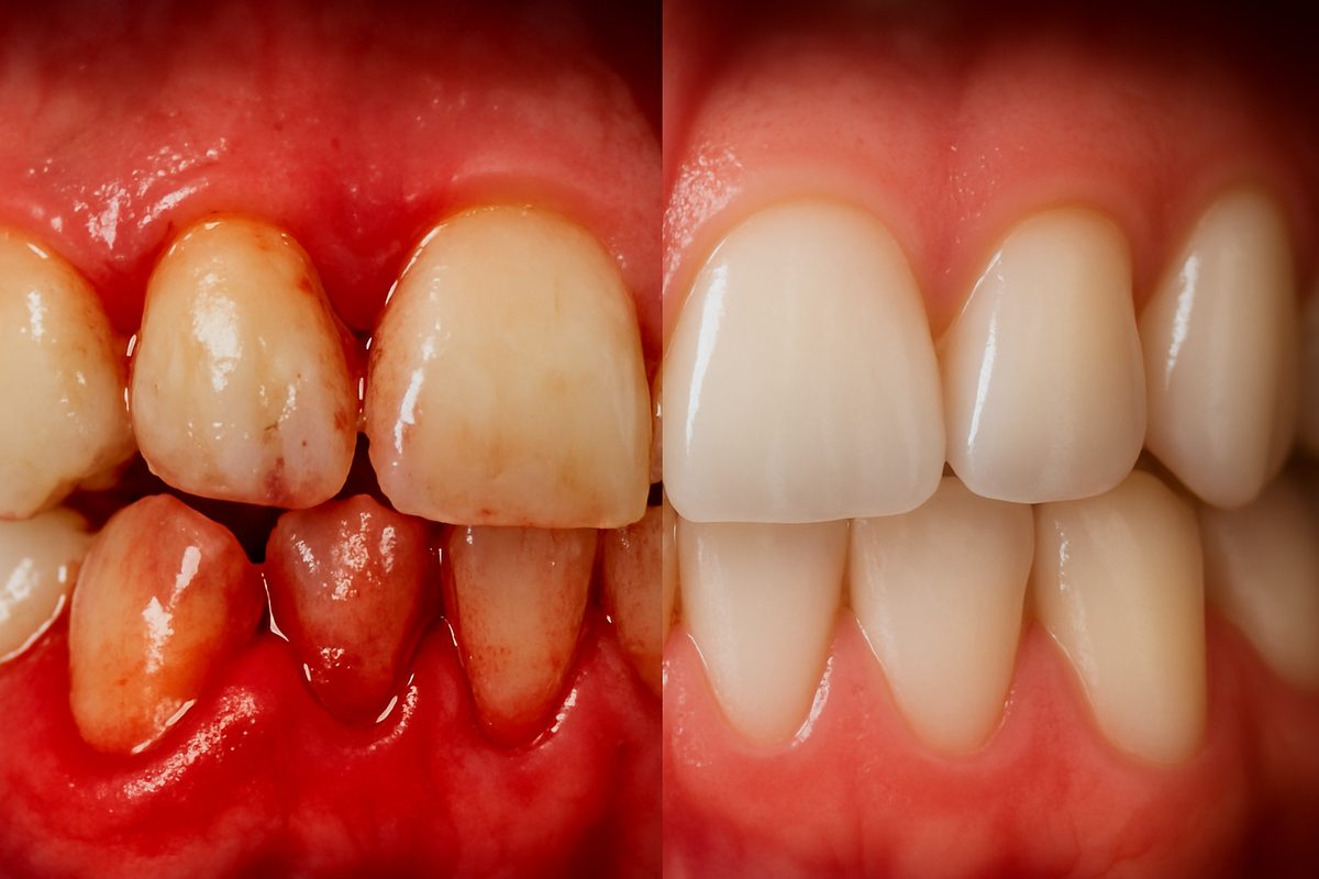
Periodontitis is an infection of the gums and the bone that support your teeth. It starts as gingivitis and can progress to destroy tissue and

Periodontitis is an infection of the gums and the bone that support your teeth. It starts as gingivitis and can progress to destroy tissue and

If you need a reliable dentist who specializes in implants in Springfield, Missouri, this guide will help you find the right care in Springfield, Missouri.

Yes — can you get all your teeth replaced near Springfield, Missouri? Modern implant dentistry makes full-mouth replacement possible for many people. Options include fixed

Perodental disease, often called gum disease, is an infection of the gums and supporting structures around your teeth. It matters because untreated perodental disease can

This post gives a clear, short overview of common teeth prosthesis choices, who they help, and why Springfield, Missouri patients should consider personalized options. You’ll

Many people notice their gums pulling back and wonder if it’s from brushing too hard or something in their genes. Genetic gum recession By Springfield,

A gum infection (periodontal infection) happens when bacteria around the teeth damage gum tissue and sometimes bone. If you’re wondering how to know if gum

If you’re asking how does an implant tooth work in Springfield, Missouri, the short answer is: an implant replaces a missing tooth with a titanium

Periodontitis def near Springfield, Missouri: Periodontitis is an advanced gum infection that damages the tissues and bone that support your teeth. This post explains a

Dental implants in Springfield, MO, have transformed restorative dentistry, providing a reliable, long-lasting solution for patients with missing or damaged teeth. These implants restore both

Dental implants in Springfield, MO, have become an increasingly popular and reliable approach to replacing missing teeth. They offer numerous advantages such as enhanced function,

Dental implants in Springfield, MO, have revolutionized the field of restorative dentistry, offering a reliable and aesthetically pleasing solution for tooth loss. These dental prosthetics

Understanding the concept of front tooth implants in Springfield, MO, is the first step towards restoring your smile. A front tooth implant is a dental

Unlike dentures, which rest on the gums, or bridges that rely on adjacent teeth for support, dental implants address the root of the problem—literally. By

Dental implants in Springfield, MO, are a revolutionary solution in restorative dentistry, designed to replace missing teeth with a permanent and natural-looking alternative. Made from

Dental implants in Springfield, MO, are more than just a cosmetic solution—they are vital to restoring oral health and functionality. Whether considering dental implants or

Advancements in dental care have revolutionized tooth replacement, offering patients more effective and lasting solutions. Dental implants and traditional dentures are the most common methods

Our overall dental health is fundamental to our well-being. It’s not just about having that “perfect smile” but also about the functions our teeth perform

When restoring your smile, nothing quite compares to the technology and functionality of dental implants. Focusing on top teeth dental implants, this blog aims to

Dental implants are not merely another restoration aesthetic but a fantastic solution for lost or damaged teeth. They assist in bridging the gap, providing both